| Albany Creek Dentists Dr. Anne Maree Cole 07 3257 1577 | ![]() |
|
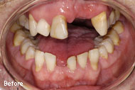
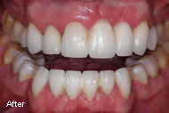
Dental bridgesDental bridges is one of the options to replace missing teeth. Dental bridges are very successful provided that the abutment teeth holding the bridge are and stay of good health. What are dental bridges?Dental bridges are fixed to specially prepared teeth. These teeth are usually the teeth either end of a gap. They are made form the same materials as dental crowns. A dental bridge is used to bridge a gap (missing teeth) between healthy teeth. Teeth on either side of the gap are reshaped and reduced in size. These then act as anchors, or abutments. The dental bridge is attached to these anchor teeth - filling the missing tooth or teeth space. Benefits of dental bridgesDental bridges are very quick, easy and painless to do. They can stop teeth from drifting into gaps. They will improve function, bite, chewing, cosmetics and help filling out the face where you have lost teeth. When you may need a dental bridge?Dental bridges are a safe option to replace missing teeth when you do not wish a partial denture or dental implant. What are dental bridges made from?Dental bridges are usually made of:
At Albany Creek Dentists our cosmetic dentists only use the best dental bridges. How long do dental bridges last?You need to look after dental bridges with the same level of care and attention as your natural teeth. Providing you maintain a good oral hygiene program, good diet and attend regular dental check-ups, a high quality dental bridge can last 10-15 years or longer. |
